இணையத்தில் ஒரு இலக்கியப் படைப்பு!       இது தமிழ் ஆர்வலர்களின் இலக்கியத் துடிப்பு!!                     ISSN: 2454-1990
muthukamalam muthukamalam
இருபதாம் ஆண்டில் பயணித்துக் கொண்டிருக்கும் முத்துக்கமலம் பன்னாட்டுத் தமிழ் மின்னிதழின் படைப்புகளைப் பார்வையிடத் தங்களை அன்புடன் வரவேற்கிறோம்...!        முத்துக்கமலம் இணைய இதழின் வளர்ச்சிக்குத் தங்களால் இயன்ற நன்கொடையினை அளித்து உதவலாம்...!!
Content
உள்ளடக்கம்




மருத்துவம்
பிற மருத்துவங்கள் - பல் மருத்துவம்

புன்னகை பூக்கும் பற்கள்

டாக்டர் ஆ. நிலாமகன்


9. பல்லின் இடைவெளி

கடந்த பகுதிகளில் வாய், நாக்கு, உதடுகள், தொண்டை பற்றித் தெரிந்து கொண்டோம். தற்போது பற்களைப் பற்றித் தெரிந்து கொள்வோம்.

ஓர் ஆணுக்கோ, ஒரு பெண்ணுக்கோ 32 பற்கள் இருக்கும். அந்த 32 பற்களில் நான்கு வகை உண்டு. முதலில், கீறல் அல்லது வெட்டுப்பற்கள் குறித்துப் பார்க்கலாம்.

வெட்டுப் பற்களுக்கான ஆங்கிலச் சொல்லான ‘Incisor’ என்கிற சொல், ‘Incider' என்கிற லத்தீன் சொல்லிலிருந்து தோன்றியது. இதற்கு, ‘துண்டு செய்’ என்று பொருள். 32 பற்களில் வெளித்தோற்றத்தில் நன்கு தெரிவது வெட்டுப் பற்களே. மேல் முன்புறத் தாடையில் நான்கு பற்கள். கீழ் முன்புறத் தாடையில் நான்கு பற்கள் என்று, வெட்டுப்பற்கள் புறத்தோற்றத்தில் உளி போலக் காட்சியளிக்கும். தட்டையான அகலமான மண்வெட்டி போன்ற அமைப்பு வெட்டுபற்களும் உண்டு.

பற்களுக்கான குறள்கள்
* முத்துப் பல்லும் முல்லை சிரிப்பும் மட்டுமல்ல
தெத்துப் பல்லும் ஓரழகே.

* சொற்குத்தல் போலவே கொடுமை உண்டபின்
பற்குத்தல் நிதமும் செய்தல்.
- தேஜஸ் சுப்பு என்கிற கனலி

முதன்முதலில் குழந்தைகளுக்கு வெட்டுப்பற்கள்தான் முளைக்கின்றன. மேலிரு நடு பற்கள் குழந்தைப் பற்கள் எனப்படும். 8 முதல் 12 மாதம் வரையிலான குழந்தைகளுக்கு முளைக்கும். 6 முதல் 7 வயதில் இந்தக் குழந்தை பற்கள் விழுந்து, அதன் பின்னரே நிரந்தரப் பற்கள் முளைக்கின்றன.

வெட்டுப் பற்கள் சிரிக்க, உண்ண, பேச எனும் மூன்று முக்கியப் பணிகளைச் செய்கின்றன. உண்ணும் உணவைத் துண்டு பண்ணுதலும், உணவை வாய்க்குள் தள்ளுதலும் வெட்டுப் பற்களின் முதன்மையான பணியாக இருக்கின்றன. மனிதனின் பற்கள் எலும்புகளால் ஆனது அல்ல. பற்கள் எலும்புகள் போல் தோற்றமளிக்க மிளரி என்கிற கனிமப் பூச்சு பயன்படுகிறது. எலும்புகள் உடைந்தால் தன்னைத்தானே பழுது பார்த்துக் கொள்ளும். ஆனால் பற்களில் எலும்பு மஜ்ஜை இல்லை.


வெட்டுப் பற்களே ஓர் ஆண் அல்லது ஒரு பெண்ணின் ஆளுமையை தீர்மானிக்கிறது. சாப்பிட்ட அரை மணி நேரம் கழித்துத்தான் பல் துலக்க வேண்டும். சாப்பிட்ட சிறிது நேரத்துக்கு பல்லின் கனிம பூச்சு மிருதுவாக இருக்கும். அரை மணி நேரத்துக்கு பின்புதான் கனிம பூச்சு இயல்பு நிலைக்கு மீளும்.

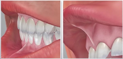
வெட்டுப் பற்களில், பலருக்கு மேல் நடு பற்களுக்கு இடையேச் சிறு இடைவெளி இருக்கும். பின்பற்களிலும் கூட சிலருக்கு இடைவெளி இருக்கும். குழந்தைப் பருவத்தில் பெரும்பாலும், பலருக்கு இந்த இடைவெளி இருக்கும். பெரியவர்கள் ஆனதும் இந்த இடைவெளி மறைந்து விடும். பொதுவாக இந்த இடைவெளி 0.5 மி.மீ அல்லது 0.02 அங்குலம் இருக்கும்.

இந்தப் பல்லின் இடைவெளியை, பல் மருத்துவத்தில் டயஸ்டெமா (Diastema) என்பர். கீழ் பல் இடைவெளியை, கீழ்த்தாடைப் பல்லின் இடைவெளி (Mandibular Diastema) என்றும், மேல் பல்லின் இடைவெளியை, மேல்தாடைப் பல்லின் இடைவெளி (Maxillary Midline Diastema) என்றும் அழைக்கின்றனர். மேல்தாடைப் பல்லின் இடைவெளி 25.4 சதவீத பேர் வரை இருக்கிறது. இந்தப் பல்லின இடைவெளியைப் பல சமூகத்தினர் அதிர்ஷ்டமாகக் கருதுகின்றனர். ஆனால், பல்லின இடைவெளி தோன்ற கீழ்க்கண்ட காரணங்களைக் கூறலாம்.

* கீழ்த்தாடை எலும்புக்கும் மேல்தாடை எலும்புக்கும் பொருத்தமில்லாத சிறு பற்கள் முளைப்பது பல்லின் இடைவெளிக்குக் ஒரு காரணமாக இருக்கிறது.

* மரபியல் தொடர்ச்சியால், பெற்றோர்களைத் தொடர்ந்து குழந்தைகளுக்கும் பல்லின் இடைவெளி வருகிறது.

* மேல் உதட்டுக்கும், முன் பற்களுக்கும் இடையே இழுமடி (Frenum) அதீத வளர்ச்சியடைவதால் ஏற்படுகிறது.


* ஈறு நோய்களாலும் ஏற்படுகிறது.

* விரல் சூப்பும் பழக்கத்தினாலும் வருகிறது.

* அடிக்கடி நாக்கு துருத்தும் பழக்கத்தினாலும் வருகிறது.

* கூடுதல் பல் முளைப்புகளாலும் வருகிறது.

சொத்தைப் பல்லுக்குத் தங்கப்பல்
சி. பிருந்தாவதனன், திண்டிவனம்.

சொத்தைப் பல்லுக்கு வேர் சிகிச்சை செய்து, அதற்கு மேலாகத் தங்கப்பல் பொருத்திக் கொள்ள முடியுமா?
மருத்துவர்கள் ஆ. நிலாமகன் மற்றும் பஹிமா:

சொத்தைப் பல்லை முழுவதும் அகற்றி விட்டு, பல் பதியவைப்பு முறையில் (Implant) செய்து தங்கப்பல் பொருத்திக் கொள்ளலாம். பல் சொத்தையை மட்டும் அகற்றிவிட்டு, அதனுள் தங்கத்தை நிரப்பலாம். அல்லது வேர் சிகிச்சை செய்து கொண்டு தங்கத்திலான பல் தொப்பியை அணிவிக்கலாம். தங்கம், பல்லடியம், பிளாட்டினம் கலந்த மூன்று உலோகங்கள் (அல்ல்லது) குரோமியம், நிக்கலில் தங்கப்பூச்சு கொண்ட தங்கப்பல்லைக் கட்டிக் கொள்ளலாம். தங்கப்பல் கட்டுவது நீண்ட காலம் நீடிக்கக் கூடியது என்றாலும், அதன் மஞ்சள் நிறம் மற்ற வெள்ளைப் பற்களிலிருந்து வித்தியாசமான தோற்றத்தைத் தரும். தங்கள் புன்னகை, தங்கப் புன்னகையாகத் தெரிய தங்கப் பல் கட்டிக் கொள்ளலாம்.


பல்லில் இடைவெளி இருப்பதால், சில பிரச்சனைகள் ஏற்படுகின்றன.

* வாய் திறந்து சிரிக்கக் கூச்சமாகவும், அவமானமாகவும் இருக்கும். இதனால் பல்லின இடைவெளி உள்ளவருக்கு, ஒரு தாழ்வு மனப்பான்மை உருவாகும்.

* உணவை கடிக்கும் மெல்லும் போது சில பிரச்சனைகள் தோன்றுகின்றன.

* செரிமானக் கோளாறுப் பிரச்சனைகள் ஏற்படுகின்றன.

* ஈறுகளில் இரத்தம் கசிவு வருகின்றன.

* பேசுவதில் குறைபாடு வருகின்றன. பேச்சுக்கு இடையே விசில் சப்தம் எழலாம். தமிழ் எழுத்துகளான ழ, ல, ர, ற உச்சரிப்பில் குழப்பமேற்படும்.

* சிலருக்கு ஈறு பின் வாங்குதல், பல் இழப்பு காரணமாக வயதாக வயதாக பல்லின் இடைவெளி அதிகரிக்கும்.

இந்தப் பல்லின் இடைவெளிப் பிரச்சனை மனிதர்களுக்கு மட்டுமின்றி, ஆடுகள், நீர் நாய்கள், எலிகளுக்குக் கூட இருக்கின்றன.

இந்தப் பல்லின இடைவெளியைச் சரி செய்யக் கீழ்க்கண்ட வழிமுறைகள் பயன்படுகின்றன.

* ஈறுதட்டு தசை நாண் நீக்கம் (Frenectomy)

* கண்ணுக்கு தெரியாத பிடிப்பு ஊக்குகள் பொருத்தல். இன்விசாலைன் (Invisalign) எனப்படும் பிடிப்பு ஊக்குகள் மாட்டலாம். இது கழற்றி மாட்ட எளிதானது, பல் துலக்குவது கடினமாக இருக்காது. சில அமர்வுகளில் இதனை பொருத்திக் கொள்ளலாம்.

* போர்சலின் காரைப்பூச்சு (Porcelain Cement)

* பல் தொப்பி (Dental Crowns)

* பல் இணைப்புகள்

நம் வசதிக்கேற்ற வகையில், இந்த வழிமுறைகளில் ஏதாவதொன்றின் மூலம் பல்லின் இடைவெளியைச் சரி செய்து கொள்வது, பற்களுக்குப் பாதுகாப்பாக அமையும்.

(தொடரும்...)


*****


இது முத்துக்கமலம் இணைய இதழின் படைப்பு.

இணைய பக்க முகவரி: http://www.muthukamalam.com/medicine/dental/serial/serial1/p9.html


  2025
  2024
  2023
  2022
  2021
  2020
  2019
  2018
  2017


வலையொளிப் பதிவுகள்
  பெரியார் சொல்லும் திராவிடத் திருமணங்கள்

  எம்.ஜி.ஆர் நடித்த திரைப்படங்கள்

  சைனிக் பள்ளி சேர்க்கைக்கான நுழைவுத்தேர்வு

  கௌரவர்கள் யார்? யார்?

  தமிழ் ஆண்டுப் பெயர்கள்

  பிள்ளையார் சுழி வந்தது எப்படி?

  வருவது போவது, வந்தால் போகாது, போனால் வராது...?

  பண்டைய படைப் பெயர்கள்

  ஸ்ரீ அன்னை உணர்த்திய மலர்கள்

  மாணவன் எப்படி இருக்க வேண்டும்?

  மரம் என்பதன் பொருள் என்ன?

  நீதி சதகம் கூறும் நீதிகள்

  மூன்று மரங்களின் விருப்பங்கள்

  மனிதன் கற்றுக் கொள்ள வேண்டிய குணங்கள்

  மனிதனுக்குக் கிடைத்த கூடுதல் ஆயுட்காலம்

  யானை - சில சுவையான தகவல்கள்

  ஒரு இரவுக்குள் நாலு கோடி பாடல்

  புகழ்ச்சிக்குப் பின்னால் வருவது...?

  நான்கு வகை மனிதர்கள்

  தேனி எஸ். மாரியப்பன் சிரிப்புகள் - I

  மாபாவியோர் வாழும் மதுரை

  கிருபானந்த வாரியார் பொன்மொழிகள் - I

  தமிழ்நாட்டு மக்களுக்கு ஒன்னு வைக்க மறந்துட்டானே...?

  குபேரக் கடவுள் வழிபாட்டு முறை

  மூன்று வகை மனிதர்கள்

  உலக மகளிர் நாள் விழா - முத்துக்கமலம் உரை


சிறப்புப் பகுதிகள்





முதன்மைப் படைப்பாளர்கள்

வலைப்பூவில் முத்துக்கமலம் இணைக்க...


சிரிக்க சிரிக்க
  எரிப்பதா? புதைப்பதா?
  அறிவை வைக்க மறந்துட்டானே...!
  செத்தும் செலவு வைப்பாள் காதலி!
  வீரப்பலகாரம் தெரியுமா?
  உங்களுக்கு ஒண்ணுமே இல்ல...!
  இலையுதிர் காலம் வராது!
  கண்ணதாசனின் நகைச்சுவைகள்
  குறைச்சுத்தான் எடை போடறாரு...!
  அவருக்கு ஒரு விவரமும் தெரியலடி!
  குனிஞ்ச தலை நிமிராத பொண்ணு...?
  இடத்தைக் காலி பண்ணுங்க...!
  சொறி சிரங்குக்கு ஒரு பாடல்!
  மாமியாரு பச்சைக்கிளி மாதிரி!
  மாபாவியோர் வாழும் மதுரை
  இளைய பெண்ணைக் கட்டித் தருவீங்களா?
  ஸ்ரீரங்கத்து யானைக்கு நாமம்!
  அகிலாவை அபின்னு கூப்பிடுறியே...?
  ஆறு தலையுடன் தூங்க முடியுமா?
  கவிஞரை விடக் கலைஞர்?
  பேயைப் பார்க்க ஒரு வாய்ப்பு!
  கடைசியாகக் கிடைத்த தகவல்!
  மூன்றாம் தர ஆட்சி
  பெயர்தான் கெட்டுப் போகிறது!
  தபால்காரர் வேலை!
  எலிக்கு ஊசி போட்டாச்சா?
  சவ ஊர்வலத்தில் எப்படிப் போவது?
  சம அளவு என்றால்...?
  குறள் யாருக்காக...?
  எலி திருமணம் செய்து கொண்டால்?
  யாருக்கு உங்க ஓட்டு?
  வரி செலுத்தாமல் ஏமாற்றுவது எப்படி?
  கடவுளுக்குப் புரியவில்லை...?
  முதலாளி... மூளையிருக்கா...?
  மூன்று வரங்கள்
  கழுதையுடன் கால்பந்து விளையாட்டு!
  நான் வழக்கறிஞர்
  பெண்ணின் வாழ்க்கை பந்து போன்றது
  பொழைக்கத் தெரிஞ்சவன்
  காதல்... மொழிகள்
குட்டிக்கதைகள்
  எல்லாம் நன்மைக்கே...!
  மனிதர்களது தகுதி அறிய...
  உள்ளங்கைகளில் ஏன் முடி இல்லை?
  இனிப்புப் பேச்சில் ஏமாறலாமா?
  அழுது புலம்பி என்ன பயன்?
  புகழ்ச்சிக்குப் பின்னால் வருவது...?
  கடவுளைக் காண உதவும் கண்ணாடி
  தகுதியில்லாதவருக்கு தந்த அடைக்கலம்
  உயரத்தில் இருந்தால் மதிப்பு கிடைக்குமா?
  ராமன் ராவணனிடம் கேட்ட அறிவுரை?
  அழியப் போவதில் ஆசை வைக்கலாமா?
  கழுதைக்குக் கிடைக்குமா வாய்ப்பு?
  எல்லாம் ஒரு கோவணத்துக்காக...!
  சிங்கத்திற்கு வாழைப்பழம்!
  வலை வீசிப் பிடித்த வேலை
  சாவிலிருந்து தப்பிக்க என்ன வழி?
  இறை வழிபாட்டிற்கு ஏற்ற வயது எது?
  கல்லெறிந்தவனுக்கு பழமா?
  சிவபெருமான் முன்பு காலை நீட்டலாமா?
  வீண் புகழ்ச்சிக்கு ஆசைப்படலாமா?
  ராமன் எப்படி ராமச்சந்திரன் ஆனார்?
  அக்காவை மணந்த ஏழை?
  சிவபெருமான் செய்த பாகப்பிரிவினை!
  இராமன் சாப்பாட்டு இராமனா?
  சொர்க்கத்திற்குள் நுழைய இலஞ்சம்
  புண்ணிய நதிகளில் நீராடினால் போதுமா?
  பயமிருப்பவன் வாழ்வில் முன்னேற முடியுமா?
  தகுதி இல்லாமல் தம்பட்டம் அடித்துக் கொள்ளலாமா?
  கழுதையின் புத்திசாலித்தனம்
  விற்ற மரத்தைத் திருப்பிக் கேட்கலாமா?
  தலைமை ஒன்றுக்கு அதிகமாக இருக்கலாமா?
  சொர்க்கமும் நரகமும் எப்படிக் கிடைக்கின்றன?
  திரிசங்கு சுவர்க்கம் என்று ஏன் சொல்கிறார்கள்?
  புத்திசாலி வாயைத் திறக்கலாமா?
  இறைவன் தப்புக் கணக்கு போடுவானா?
  ஆணவத்தால் வந்த அழிவு!
  சொர்க்கத்துக்கான நுழைவுச்சீட்டு
  சொர்க்க வாசல் திறக்குமா...?
  வழுக்கைத் தலைக்கு மருந்து
  மனைவிக்குப் பயப்படாதவர்
  சிங்கக்கறி வேண்டுமா...?
  வேட்டைநாயின் வருத்தம்
  மாமியாரைச் சாகடிக்க ஒரு மருந்து
  கோவணத்திற்காக ஓடிய சீடன்
  கடவுள் ரசித்த கதை
  புத்தர் மௌனமாக இருக்கலாமா?
  குளத்தை வெட்டினால் புண்ணியம் கிடைக்குமா?
  சிங்கத்திற்குத் தற்பெருமை வரலாமா?
  தேங்காய் சிதறுகாயான கதை
  அஷ்டாவக்கிரர் செய்த உபதேசம்
  அர்ச்சுனனுக்கு வந்த ஆணவம்
  கம்பர் வீட்டு வேலைக்காரி சொன்ன விடுகதை
  சிறப்பான ஆட்சிக்கு எவை தேவை?
  அழியும் பொருள் மேல் ஆசை கொள்ளலாமா?
  விமானத்தில் பறந்த கஞ்சன்
  நாய்களுக்கு அனுமதி இல்லை
  வடைக்கடைப் பொருளாதாரம்
ஆன்மிகம் - இந்து சமயம்
  ஆலயத்தினுள் கடைப்பிடிக்க வேண்டிய விதிகள்
  தானம் செய்வதால் வரும் பலன்கள்
  முருகனுக்கு காவடி எடுப்பது ஏன் தெரியுமா?
  பிரதோஷம் எப்படி விஷேசமானது?
  விநாயகர் சில சுவையான தகவல்கள்
  சிவராத்திரி விஷேசமானது ஏன்?
  முருகனுக்கு ஏன் இத்தனை பெயர்கள்?
  தமிழகத்திலுள்ள நவ கைலாயங்கள்
  கேரளாவின் 108 துர்க்கை கோயில்கள்
  எப்படி வந்தது தீபாவளி?
  தசரதனுக்கு ஏன் நான்கு பிள்ளைகள்?
  ஸ்ரீ கிருஷ்ணன் பூமியில் வாழ்ந்த காலம் எவ்வளவு?
  ஆலயத்திற்குச் சென்று வழிபடுவது அவசியமா?
  அனுமனுக்கு வடை மாலை ஏன்?
  திருநீறு எங்கெல்லாம் பூசலாம்?
  விநாயகருக்கு முதல் மரியாதை ஏன்?
  கீதை சொல்லும் சொல்லக்கூடாத விசயங்கள்
  சிவபெருமானின் 64 திருக்கோலங்கள்
  முருகா என்றால் என்ன கிடைக்கும்?
  குரு சீடனை ஏற்கும் தீட்சை முறைகள்
  விபூதியின் தத்துவம்
  கோயில்களில் பாலியல் சிற்பங்கள் ஏன்?
  தீபாவளியன்று என்ன செய்ய வேண்டும்?
  கிருஷ்ணர் கண்ணை மூடிக் கொண்டது ஏன்?
  இறைவன் ஆடிய நடனங்கள்
  யாரை வணங்கலாம்? யாரை வணங்கக் கூடாது?
  செய்யக்கூடியதும் செய்யக்கூடாததும்
  கணவனைக் காக்கும் சாவித்திரி நோன்பு
  விநாயகர் வழிபாட்டுக்கான இலைகள்
  இறைவனை வழிபட்ட பிற உயிரினங்கள்
  நவராத்திரி பூஜை ஏன்?
  வேள்விகளும் பலன்களும்
  காசிக்கு சென்று எதை விட்டு வரவேண்டும்?
  பசுவும் பாம்பும் கடவுளாகுமா?
  அம்பலப்புழா பால் பாயாசம்
  துர்க்கையம்மனை ராகு காலத்தில் வழிபடுவது ஏன்?
  சிவபெருமான் அபிஷேகப் பலன்கள்
  ஈசன் உபதேசித்தத் தலங்கள்
  பரமபதம் விளையாட்டு ஏன்?
  வேள்வி மந்திரங்களும் - வேள்வியின் பலன்களும்
  பதின்மூன்று வகை சாபங்கள்
  இறை வழிபாட்டில் வில்வம், துளசி ஏன்?
  சரஸ்வதிக்கு வெள்ளைப்புடவை ஏன்?
  பிரதோஷங்களும் வழிபாட்டுப் பலன்களும்
  சண்டிகேசுவரருக்கு தனிமரியாதை ஏன்?
  உணவு வழித் தோசங்கள்
  திருமாலின் தோற்றங்களில் அழகிய தோற்றம்
  மகாலட்சுமி வசிக்கும் இடங்கள்
  பஞ்சகவ்யம் அபிசேகம் ஏன்?
  நந்தியை எத்தனை முறை வலம் வருவது?
  சிவன் சொத்து குல நாசம் – பொருள் என்ன?
  மாவிளக்கு ஏற்றுவதன் பலன்கள்
  இராமேஸ்வரத் தீர்த்தங்களும் பலன்களும்
  பட்டினத்தார் சொன்னதன் பொருள் என்ன?​
  கலியுகத்தில் என்னென்ன நடக்கும்?
  அனுமனுக்கு வடை மாலையா? ஜிலேபி மாலையா?
  தீர்க்க சுமங்கலி பவா


தேனி மு. சுப்பிரமணி எழுதிய நூல்கள்

                                                                 


இங்குள்ள படைப்புகளை வணிக நோக்கமின்றி “படைப்பாளர் பெயருடன் நன்றி: முத்துக்கமலம் இணைய இதழ்” என்று குறிப்பிட்டுப் பகிர்ந்து கொள்ளலாம்
Creative Commons License
This work is licensed under a Creative Commons Attribution-NonCommercial-ShareAlike 4.0 International License